TECHNOLOGY

State-of-the-Art Care

At 21st Century Dentistry in Nashville, TN, you’ll discover dental care at the highest level possible: Technology, advanced training, and compassionate service blended perfectly together.

Our Nashville dentist carefully selects technologies proven to deliver the finest experience to our patients. This allows for the most accurate diagnosis, more comfortable procedures, and predictable results. Our commitment to using state-of-the-art technology helps us stay on the forefront of prevention and keeping your mouth healthy.

INTRA-ORAL CAMERA

A picture explains what words never can, especially when it comes to your teeth. We use handheld cameras to help show you what we see.

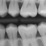
DIGITAL X-RAYS

Digital radiographs with exquisite detail and dramatically reduced radiation exposure offer the ultimate in safety and diagnostic capability.

3D Cone Beam CT

Utilizing Planmeca Ultra Low Dose technology, this proprietary 3D imaging protocol enables CBCT imaging with even lower patient radiation dose than a standard panoramic image. 3D imaging plays a vital role in diagnosis of oral pathology and implant planning.

DIAGNOdent

The size of an ink pen, this advanced device uses laser fluorescence to aid in early detection of cavities in tooth structure. Early detection means less invasive and less costly treatment for our patients.

Intra-oral Scanner

This handheld scanner allows us to take digital impressions of your teeth instead of using traditional impression material. Digital impressions are great for anyone with a sensitive gag reflex and can be used for crowns, implants, and clear aligners.

Phase Contrast Microscope

Utilizing a phase contrast microscope helps us detect and proactively treat harmful bacteria present in your mouth before periodontal disease causes irreversible destruction to your bone and gums. Studies show harmful bacteria present in your mouth also play a role in various systemic illnesses.

Transilluminator

A transilluminator shines a focused light through your tooth and helps us visualize cavities and cracks within your teeth that may otherwise be difficult to see.

Diode Laser

A diode laser is a soft tissue laser that can be used to help disinfect gum tissue surrounding your teeth, remove excess gum tissue, treat cold sores, and perform a variety of other treatments.

Air Purification

We use H13 HEPA air purifiers in every room as well as an ozone generator for overnight air treatment. This combination helps keep the air we breathe clean.

VELscope

This potentially life-saving, handheld device emits a harmless, bright blue light that causes the soft tissue of your mouth to naturally fluoresce. When tissue undergoes an abnormal change, such as with oral cancer, this may appear as a dark area in comparison to healthy tissue.

Digital Press 3D Printer

The Midas Digital Press by Sprintray is the latest generation 3D printer, and we can utilize it to fabricate same-day temporary and permanent restorations while you wait in the chair.

We are excited to meet you!

Let's Get You Scheduled